随着近几十年我国医疗水平的飞速发展,在一些疾病的治疗方面已经追上或者赶超国外。小瑞(化名)父母就选择从菲律宾不远万里地带孩子回到祖国出生地湖南进行治疗。小瑞父母对小瑞说,“哪怕跨越千山万水,哪怕历经千辛万苦! 我们也要带你回国奔向康复的希望。”
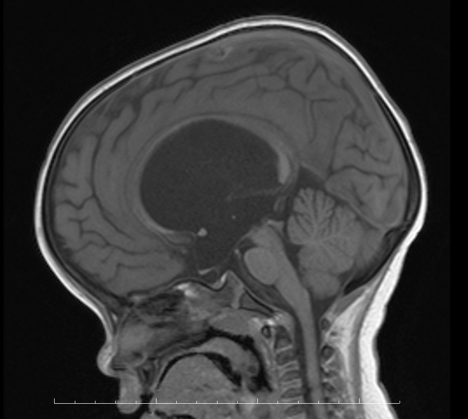
小瑞是一个菲律宾出生的中国国籍混血小男孩,在菲律宾务工的中国帅小伙浪漫邂逅了菲律宾美女,生下一个漂亮的混血宝宝小瑞。父母看到活泼可爱的小瑞一天天长大感觉非常幸福,然而好景不长,父母发现2岁的小瑞语言、运动发育均落后同龄儿童,本来会叫爸爸妈妈的小瑞慢慢不会说话也不会走路了,头围比同龄小朋友大了许多,达到55.5cm,有一个成人的头那么大。万分焦急的父母带小瑞辗转于菲律宾各家医院检查后明确诊断了脑积水,但都没有给出进一步治疗。看着小瑞一天天长大,但病情却逐渐加重,和同龄小朋友智力上的差距也越来越明显。焦急的父母等到国内疫情缓解后便马不停蹄的带着小瑞回到祖国,通过当地医生联系湖南省儿童医院神经外科。虽然正值暑期就医高峰,科室考虑到小瑞的特殊情况,开辟绿色通道第一时间给小瑞办理了住院手续。入院后行头部MRI提示中脑导水管变窄、幕上重度脑积水并间质性脑水肿。
图一 术前头部MRI检查
![]()

给小瑞完成术前检查及准备后,于7月5日上午,在麻醉手术科的全程保驾护航下,刘景平手术团队按计划成功为小瑞实施了脑室镜探查三脑室底造瘘手术,术中脑室镜探查右侧脑室,见侧脑室扩张明显,透明隔部分缺如,右侧室间孔扩大,经右侧室间孔进入三脑室的脑室镜成功进行三脑室底造瘘,建立了新的脑脊液循环,治愈了小瑞的脑积水。整个手术操作过程不到1个小时,手术过程顺利,术后小瑞病情平稳。术后复查头部CT提示小瑞脑积水较术前明显好转。
神经外科主任刘景平介绍,脑积水是由各种原因引起的脑脊液分泌过多,循环受阻或吸收障碍而导致脑脊液在脑室系统和(或)蛛网膜下腔积聚,使脑室扩大、脑实质相应受压减少。婴幼儿脑积水患儿,因其颅缝未闭,颅腔可迅速扩大以缓解颅内压力的升高,所以对于婴幼儿脑积水,最明显的临床症状是头围迅速增大,前囟扩大、隆起、张力增高,其他症状有:呕吐、嗜睡、易激惹哭闹、落日征(眼球向下翻,露出大量白色巩膜)等等。治疗脑积水的传统方法多采用脑室-腹腔分流术,将脑室内过多的脑脊液经分流管引流至腹腔,但分流手术存在分流管堵塞、移位、感染等较多并发症,易造成治疗失败,另外还可能导致分流管依赖以及心理障碍,且分流装置费用昂贵。而现在神经内镜下造瘘手术已成为治疗梗阻性脑积水的首选方式,神经内镜下造瘘治疗脑积水操作简便,术后脑脊液循环较脑室-腹腔分流术更符合生理状态,且无需放置分流管,消除了分流手术的诸多缺点。
近十余年来,随着科学技术的迅猛发展,神经内镜技术从基础研究到临床应用,其应用范围不断拓展,基本已覆盖神经外科的各个领域。我院神经外科紧跟学科技术发展的前沿潮流,引进了全套先进的神经内镜技术设备,包括脑室镜、鼻内镜、电子纤维软镜等。神经内镜技术可应用于治疗脑积水、颅内囊肿、脑室内肿瘤、颅咽管瘤、脑脓肿、脑囊虫病、颅内血肿、脑脊液鼻漏等疾病,及内镜辅助显微外科手术治疗颅内肿瘤、动脉瘤等疾病。神经内镜是现代科学技术带给神经外科医生的一双“慧眼”,同常规神经外科手术相比,神经内镜手术具有创伤小、出血少、术后反应轻、住院时间短、病人恢复快、费用低、副损伤及并发症发生率低及疗效显著等特点,因此,神经内镜技术现已成为促进微侵袭神经外科发展的重要利器。
一周后,小瑞在医护团队的精心救治之下顺利出院。小瑞父母不禁感慨:“祖国的变化太大了,真是日新月异,看病条件也比国外好了,我始终坚信回国治疗是最正确的选择,是祖国给了我们海外务工人员归家的力量。”
2026-04-30
2026-04-29
2026-04-29
2026-04-29
2026-04-28
2026-04-27
2026-04-27
2026-04-27
微信服务号
患者满意度调查