7月8日上午,湖南省儿童医院心血管内科接到了郴州市儿童医院咨询电话,有一名5个月大的完全性房室传导阻滞的孩子可可(化名),在使用了药物和心脏临时起搏治疗10天后,仍然不能恢复正常心率。考虑到孩子年龄小,体重低,治疗难度大,希望转到湖南省儿童医院来治疗。
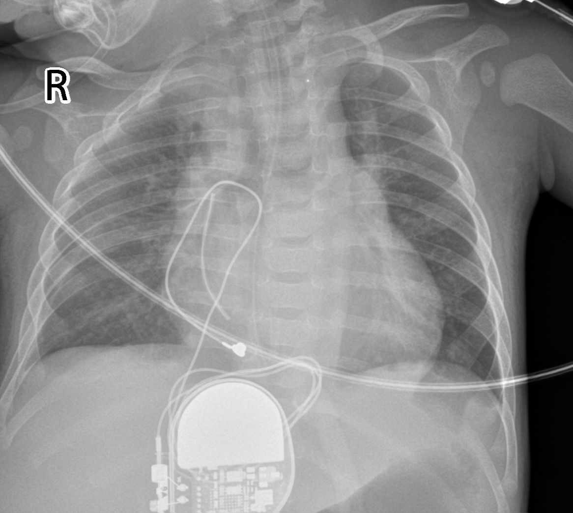
时间就是生命,当我院转运中心带着临时起搏器把孩子接入病房,心血管内科主任陈智就带着团队的医生仔细查看了可可的情况。完全性房室传导阻滞是儿童期严重的心律失常,严重的可出现晕厥、阿-斯综合征发作,甚至猝死。经过详细的检查发现,5个月大的可可,心脏传导系统时断时续,束支传导和心肌发育都有问题,心脏扩大,心功能减低。长时间的临时起搏器治疗已出现起搏阈值升高,位置不稳定的情况,有永久起搏器植入指征。但由于孩子的体重只有5.5公斤,血管条件不佳,如何选择永久起搏器的植入方式就显得格外重要。
7月21日下午,医务部组织心血管内科、心胸外科、麻醉手术科、超声科、放射科专家就可可的情况展开讨论,就术前评估、手术方式的选择、麻醉手术配合等方面做出细致安排。最终决定选择外科的方式植入心外膜心脏起搏器,帮助孩子心脏恢复跳动。
7月22日晨,可可突然出现发热,临时起搏器起搏不良,并出现一过性心脏停搏并意识丧失,床旁心脏超声发现临时起搏导线移位,在医务部组织下,心胸外科主任黄鹏教授、邓喜成教授、超声科刘金桥教授、放射科李晓明教授、麻醉手术科陈政副教授再次聚集在心血管内科紧急讨论。考虑可可有心脏破裂可能,病情十分凶险,黄鹏立即组织心胸外科团队准备急诊手术,体外循环、麻醉手术人员、CICU迅速联动,抢救生命。

急诊手术开始了,打开心包,修补心脏,根据心外膜电极的特点,测试选择最佳的起搏位点。把像纽扣一样的起搏电极头端牢牢缝在了心脏表面,术中操作如同行走于钢丝。当电极与起搏器连接后,看着可可心脏有力而规律地复跳,手术医生黄鹏教授、邓喜成教授终于舒了口气。接着心脏起搏器被植入在了孩子的上腹部皮下,术中仔细地程控了心外膜电极的参数与阈值,调整起搏器的参数。可可顺利结束了手术,送入CICU心脏监护团队进行严密监护,目前病情稳定,已转入普通病房。

这是一例以抢救生命为目的的急诊手术,也是省内首例小儿心外膜起搏器植入术。小婴儿通过心外膜心脏起搏治疗,可以维持心脏节律,提供孩子足够的生长空间,保护外周血管,为后期心内膜起搏导线植入留有充分的空间。湖南省儿童医院心脏中心内外科的协同治疗,对于低年龄、低体重、危重复杂心脏病救治,有着得天独厚的的优势。未来必将在先天性心脏病、复杂心律失常的综合救治上,开拓新的领域。
编辑:李雅雯
2026-05-09
2026-05-08
2026-05-08
2026-05-07
2026-05-07
2026-05-07
2026-05-06
2026-05-06
微信服务号
患者满意度调查