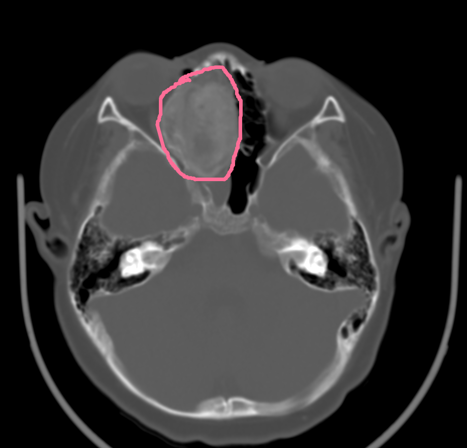
家住长沙雨花区的9岁6月男孩阔阔,在1月前出现鼻塞,流脓涕、口腔内有水泡,家长当时觉得就是个“小感冒”,未引起重视。后来他突然说右侧面部胀痛及头痛,家长才带他到当地社区医院就诊,血常规提示感染指标高,予抗生素抗感染治疗,但症状未见好转,而且头痛越来越厉害,于是家长带其来到湖南省儿童医院,耳鼻咽喉头颈外科医师为其行电子鼻咽喉镜检查发现其右侧鼻腔有一新生物。为了明确肿物来源及与周围组织的关系,予其行MR平扫+增强,结果示右侧鼻腔及筛窦区可见一大小约3.6x4.6x4.8cm类圆形混杂密度肿块影,边界较清晰,肿块部分凸入右侧上颌窦及眶锥内,右侧内直肌及视神经局部受压,鼻中隔局部受压向左侧移位,提示右侧鼻腔及筛窦区占位性病变:骨化性纤维瘤?手术是本病唯一根治的方法,为了保证手术安全及手术精准性,减少术中出血,耳鼻咽喉头颈外科进行了病例讨论,为患儿制定了个性化手术方案,目前阔阔已经顺利通过手术,鼻塞、头痛症状得到了明显改善。


湖南省儿童医院耳鼻咽喉头颈外科黄敏主任医师提醒广大家长和孩子:骨化性纤维瘤起源于骨组织,具有向骨质和纤维组织双向分化的特点,呈进行性、膨胀性生长,可累及全身,多发生在10-30岁的年龄阶段。它对身体的危害取决于大小,位置,生长速度。最常见的危害是压迫和破坏局部组织如鼻塞、鼻出血、面部畸形、牙齿松动、移位、要和错乱等,严重时可侵犯邻近重要器官。由于鼻窦鼻腔为空腔器官,解剖部位隐匿,对孩子来说,不能详细诉说病史,加之早期症状不明显,即仅有鼻塞、流涕、头痛等类似鼻窦炎的症状,而后随着肿瘤增大压迫,可出现出现进行性面部肿胀、特通膨隆畸形、眼球突出、视力下降或失明等常见的临床典型症状,易造成眼眶、颅底及颅内邻近组织的压迫,引发眼部及颅脑并发症,严重影响患者的学习。孩子如果出现鼻塞、流涕、头痛,别只当感冒治,应尽早来医院耳鼻喉科就诊,早诊断,早治疗,防止并发症的发生。
编辑:李雅雯
2026-04-07
2026-04-03
2026-04-03
2026-04-03
2026-04-03
2026-04-02
2026-04-02
2026-04-02
微信服务号
患者满意度调查