近日,在湖南省儿童医院骨科门诊,来自四川7岁的患儿小小(化名)步伐稳健地走进诊室。两年前,他因罕见病先天性胫骨假关节,导致一侧胫骨大段骨坏死、缺损,面临截肢风险。该院骨科手显微外科团队为他成功实施了湖南省儿童医院首例“带血管蒂的腓骨移植”手术。如今术后两年随访,移植骨愈合良好,患肢功能恢复满意,小小已重返校园,享受奔跑跳跃的童年乐趣。
先天性胫骨假关节(CPT)是发育异常导致的胫骨畸形,表现为胫骨成角畸形、髓腔狭窄或囊肿等,最终形成不愈合的假关节。先天性胫骨假关节是一种罕见且非常难治的骨科疾病,手术后骨愈合困难、治疗周期长、肢体功能严重受损、有截肢的风险。
小小出生3个月时即发现右小腿下段弯曲,2岁时因胫骨骨折辗转于数家医院,经多次手术失败后经人推荐来湖南省儿童医院治疗。先天性胫骨假关节导致小小右侧胫骨出现大段骨缺损,传统治疗方法效果有限,且存在肢体短缩、畸形甚至截肢的风险。面对这一棘手难题,湖南省儿童医院骨科团队经过多次病例讨论和精密规划,决定实施一项新的手术方案:“右侧胫骨内固定取出,右侧胫骨假关节病变切除,取左侧带血管蒂的腓骨移植,克氏针髓内固定,伊氏架外固定,左侧胫腓骨远端融合,石膏托外固定术”。即从小小健康的左侧小腿取一段带血管蒂的腓骨,移植到右侧胫骨缺损处,通过吻合血管重建移植后的腓骨血运,重建胫骨的完整性与支撑功能。
主治医师王军介绍:“这相当于在体内建造一座‘骨骼桥梁’。手术难点不仅在于骨骼的切取与精准拼接,更在于要在显微镜下将细小的血管(腓动静脉)与受区血管成功吻合,确保移植骨后有持续血液供应而‘存活’。儿童动静脉直径细小(可能仅0.5-1.0mm),血管壁薄,弹性组织发育不完全,这使得血管分离、吻合的操作极为困难,对显微外科技术是极大考验。”

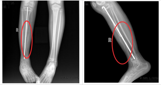
术前

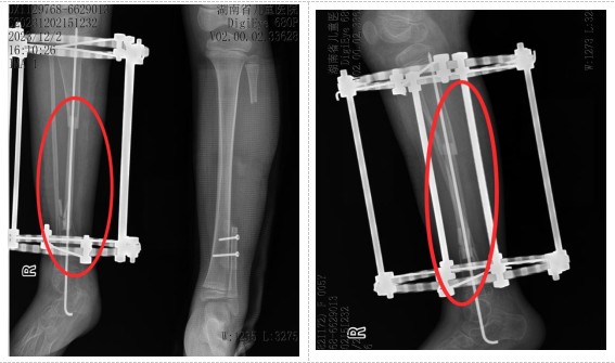
术后
在麻醉手术科的密切配合下,以谭谦主任医师、王军主治医师为核心的手术团队历时数小时,凭借精湛的显微外科技术和丰富的骨科经验,顺利完成供区腓骨切取、受区准备、骨骼固定及血管吻合等一系列高难度步骤。术后,小小在骨科团队的精心护理和指导下,顺利出院。
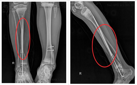
经过两年定期复查,影像学检查证实,移植的腓骨已在新的位置“安家落户”,与胫骨牢固愈合,直径明显增粗,具备了良好的承重能力。小小的右下肢长度得到维持,功能恢复良好,生活质量得到了显著改善。
术后两年
“看到孩子能重新站起来,正常行走、跑跳,这是我们作为儿童骨科医生最大的欣慰。”骨科副主任谭谦表示。此次手术的成功,标志着湖南省儿童医院在儿童肢体与复杂骨缺损重建领域取得了重要技术突破,为因创伤、肿瘤、感染等原因导致长段骨缺损的患儿提供了一种有效的保肢治疗方案,避免了截肢带来的终身残疾和心理创伤。
编辑:李雅雯
2026-04-09
2026-04-09
2026-04-09
2026-04-08
2026-04-07
2026-04-07
2026-04-07
2026-04-07
微信服务号
患者满意度调查