近日,我院神经外科团队成功完成了首例“神经内镜下经鼻蝶入路鞍区肿瘤微创切除术”。该手术全程通过鼻腔自然通道操作,无需开颅,以“毫米级”精准度剥离肿瘤组织,最大限度保留神经血管功能,凸显了微创技术在颅内复杂肿瘤治疗中的核心优势。

患者因甲状腺功能减退在当地医院完善颅脑MRI发现垂体病变,前来我院就诊,影像学检查显示鞍区存在占位性病变。鞍区位置深在,解剖结构复杂,周围密布重要神经血管,传统开颅手术创伤大、风险高。为最大程度保护患者神经功能、减少创伤,科室经过严谨的术前讨论,决定为其实施目前国内前沿的“神经内镜下经鼻蝶入路微创手术”。
手术中,团队凭借精湛的技术,借助高清神经内镜,犹如赋予外科医生一双“会拐弯的透视眼”。他们通过患者自然腔道——鼻腔,建立微小的通道,精准抵达颅底深处的鞍区。在内镜放大数十倍的清晰视野下,肿瘤与周围正常垂体、颈内动脉、视神经的关系一目了然。逐步剥离肿瘤与周围组织的粘连,历时4小时顺利完成全切除,术中出血量不足30毫升。术后患者意识清醒,视力正常无下降,无脑脊液鼻漏。

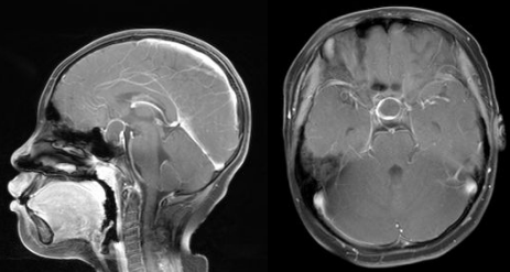
术前MRI影像

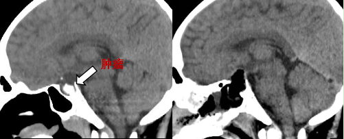
术前术后CT影像
据神经外科主任吴水华介绍,神经内镜经鼻蝶窦入路手术具有三大核心微创优势:一是无开颅创伤,利用自然腔道避免颅骨切开,减少颅内感染风险;二是视野清晰精准,内镜可近距离观察病变细节,降低神经血管损伤概率;三是术后恢复快,住院时间缩短50%以上,患者能快速回归正常生活。该技术的成功应用,标志着湖南省儿童医院在颅内鞍区肿瘤微创治疗领域开创了经鼻蝶微创手术治疗先河,为更多复杂颅内病变患者提供了创伤小、疗效优的治疗选择。
此次首例手术的成功,不仅为患者提供了更优的治疗选择,也充分彰显了我院神经外科团队勇于探索、精益求精的专业精神,以及多学科协作的强大实力。未来,科室将继续深耕微创技术,让更多患者享受到科技进步带来的健康福祉。
2026-04-03
2026-04-03
2026-04-03
2026-04-03
2026-04-02
2026-04-02
2026-04-02
2026-04-01
微信服务号
患者满意度调查